微创手术治疗脐疝患者 □高 磊 文/图
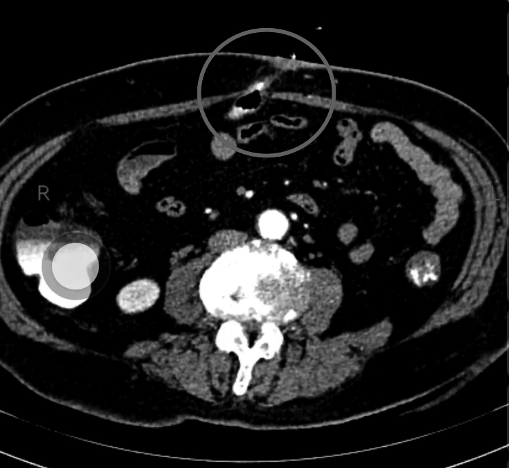
70多岁的王女士来到医院就诊,刚开口说话,立马脸就红了。她说肚脐发炎了,流出的东西跟大便一样,觉得很脏,一直羞于看医生,最近感觉症状越来越严重,还出现了肚子痛,这才来到医院就诊。 通过检查,我发现王女士的肚脐上有一个洞,周围红肿,一碰就痛;挤压肚脐,周围会流出像大便一样的东西。我拿着棉签探了探,发现里面很深,已经进入腹腔。 直觉告诉我,这不是单纯的脐炎,一定另有“玄机”。 通过进一步了解,我得知,几十年前,王女士这里曾经有一个包块,因为不痛不痒,包块也能下去,一直也没治疗;最近一段时间,这个包块变大了,变硬了,隐隐还出现了疼痛,并且破溃了,开始流出来的是带有臭味的脓液,换了几次药不见好转,最后流出来的就是像大便一样的东西。 多年的经验告诉我,这应该是一个特殊的脐疝——Richter疝(一种特殊的嵌顿疝),疝出来的只是一部分肠管,卡住之后出现慢性缺血和坏死,最后穿孔、破溃,导致大便从肚脐里流出来。王女士的CT检查结果证实了我的判断:横结肠的一部分肠壁从肚脐疝出来了,穿孔之后形成了肠瘘,因为大部分的肠管还是通畅的,所以并没有形成肠梗阻。王女士出现的疼痛,则是脐疝周围的感染引起的。 真相终于大白。接下来,我们为王女士实施了腹腔镜下的微创手术:切除了肠瘘,修补了脐疝。 术后没几天,王女士就康复了,很快出院。 我在这里提醒大家,Richter疝是一种特殊类型的疝,指的是肠壁的一部分进入疝囊,而肠系膜侧肠壁及系膜不进入疝囊,多由慢性腹腔压力增加而引起,较高的腹腔内压力使得腹膜被推挤进入人体先天性薄弱区域,从而形成疝囊。由于疝环狭小,疝囊浅,当肠管疝入时只有肠壁的一部分成为疝内容物,而肠系膜侧肠壁没有进入疝囊;同时,由于周围组织弹性差,肠壁一旦疝入很难自行复位,常常造成肠壁的嵌顿,使患者出现腹痛、呕吐等症状,严重时甚至出现坏死及穿孔。通过彩超或者CT检查往往可以明确诊断,而手术则是唯一可以治愈的方法。 (作者供职于郑州市中心医院)
 
|