诊治一名间叶性软骨肉瘤患者的体会
□符丽洋 韩 倩 文/图
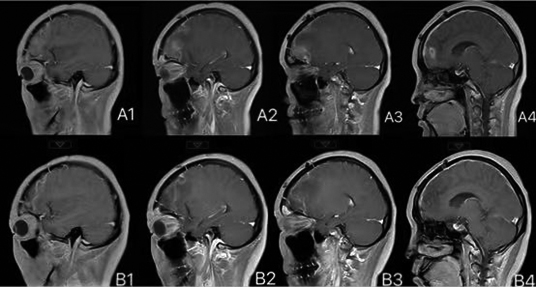
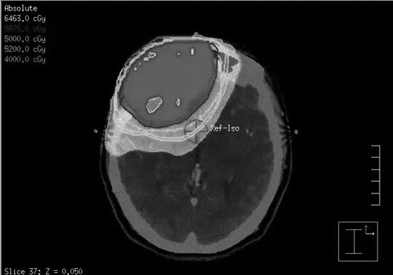
2020年8月,一名38岁、脑瘤术后拟行放疗的女性患者来到河南省人民医院。 患者2020年7月因前额部持续性胀痛伴加重,自行口服止痛药效果欠佳就诊于当地医院。颅脑CT检查结果提示:右额叶占位性病变。医生考虑脑膜瘤,建议进行手术治疗。后来,患者就诊于某三甲医院,进行头颅MRI(磁共振)检查,结果提示:T1呈混杂等低信号,T2呈混杂等高信号,FLAIR(磁共振成像液体衰减反转恢复序列)呈混杂等高信号,DWI(弥散成像序列)呈低、等稍高信号,ADC(表观弥散系数)呈高、等低信号。 为患者注射钆喷酸葡胺后进行扫描,可见明显不均匀强化。MRI检查结果提示:右侧额部占位性病变,考虑脑膜瘤可能性大,孤立性纤维瘤及其他病变不除外。 患者2020年7月31日在河南省人民医院全麻下进行“右额叶肿瘤切除术”。 术后病理检查结果提示:(右额叶)恶性肿瘤,考虑间叶性软骨肉瘤(图1),建议省级专家会诊。免疫检查结果提示:CD56(NK细胞,+),CD99(兔白细胞分化抗原,+),CK(AE1/AE3)(-),Desmin(结蛋白,-),EMA(上皮细胞膜抗原,-),GFAP(神经胶质酸性蛋白,-),Ki67(热点区约30%+),Myogenin(肌细胞生成素,-),Olig-2(+),S-100(-),STAT6(人信号传导转录启动因子6,-),SYN(突触素,-),Vimentin(波形蛋白,-),SMA(平滑肌肌动蛋白,-)。在低倍放大镜下,可见病理切片由大的未分化小细胞、小且圆形或短的梭形细胞和小细胞质组成。细胞核呈圆形或卵形,染色较深,核仁不明显,中间可见少量透明软骨的小岛,软骨分化相对成熟(图1右)。 2020年8月19日,对这个病例,相关专家会诊后报告如下:(右额叶)恶性肿瘤,符合间叶性软骨肉瘤的诊断。 术后,患者的头颅磁共振(3.0T)检查结果提示:与2020年8月27日所拍的片子对比,术区出血灶较前吸收减少;额窦病灶缩小。患者进行了3个周期的化疗。 术后患者间断性头痛,并伴有双侧眼周肿胀。患者进行头颅3.0T磁共振平扫+增强,结果提示:右额叶见斑片状短T1、长T2信号影,FLAIR呈高信号,DWI呈高信号,增强扫描可见局部轻微强化,周边可见水肿带环绕,右侧脑室前角稍受压,中线结构居中。 接诊患者后,我们认为对该患者的诊断有疑点: 1.中枢神经系统缺乏间叶组织,软骨肉瘤的诊断是否成立。 2.术后患者肿瘤占位解除,但患者仍间断性头痛,双侧眼周肿胀,仅用术后改变来解释是否合理?是否存在残余肿瘤? 于是,我们再次阅读患者术前、术后的头颅MRI片,发现患者存在额窦病变,并且在术前、术后MRI影像中未见明显变化。 我们请河南省人民医院健康管理中心的影像专家李永丽会诊。李永丽也认为患者额窦病变与颅内部分影像表现一致,应考虑手术残留病变。但是,软骨肉瘤恶性程度低,对放化疗敏感性低。目前,患者症状明显、残留病灶存在,不同意再次手术,无放疗禁忌证,于2020年9月7日进行放射治疗。 我们给予处方剂量额窦病变PGTV(原发肿瘤计划肿瘤靶区):64Gy(辐射计量单位),PTV1(预防区计划靶区1):60Gy,PTV2(预防区计划靶区2):54Gy(图3),共30次,每周5次;患者在放疗过程中耐受性可,前额疼痛、肿胀症状明显缓解后出院;放疗结束后,多次进行药物治疗。术后1年病情无明显进展。目前,术后放疗和化疗的过程已完成,患者无不适,耐受性尚可,定期复查。患者仍在随访观察中,一般情况好,前额肿胀、疼痛等症状消失,影像检查结果提示:病灶无进展。 软骨肉瘤是骨肿瘤中常见的恶性肿瘤,是由染色体异常引起的软骨组织疾病。迄今为止,颅内软骨肉瘤的起源仍不清楚。颅内间叶性软骨肉瘤是一种罕见的中枢神经系统恶性肿瘤,通常发生于年轻人,约占颅内肿瘤的0.15%。原发性颅内软骨肉瘤绝大多数起源于颅底,预后较差,局部复发的可能性较高。有报道说,与手术结合术后辅助放疗相比,单纯手术似乎是无效的治疗策略。因此,手术结合术后放疗,患者可获得最佳的生存时间。相关研究发现,仅接受手术治疗的软骨肉瘤患者的5年死亡率为26%,而实施术后辅助放疗则使死亡率大幅降低至4%。 近期,许多研究指出,精细的手术切除加上术后放疗,可为这些患者提供最佳的长期预后。相关专家在2002年开展的研究发现,术后放疗可能对这些患者有益。而一项关于此类问题的研究,在2007年也明确指出,放疗是治疗软骨肉瘤的重要辅助疗法。我们为该患者选择术后辅助放疗,使患者1年来保持较高的生活质量,未再出现前额胀痛症状,影像评估稳定。 (作者供职于河南省人民医院)
  
|