治疗巨大骶前囊肿的体会 □高 磊 文/图
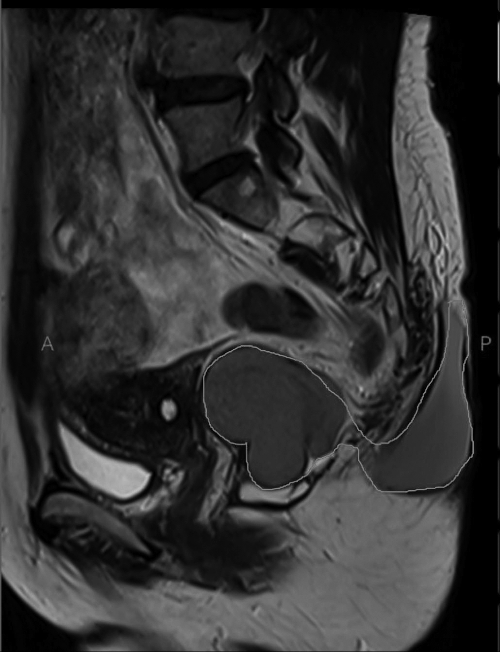
近日,40多岁的王女士来到郑州市中心医院,找我就诊。几年前,她无意中发现骶尾部有一个小包块,软软的,像小枣一样大小,不痛不痒。她在当地医院找医生看了看,医生说是一个小囊肿,良性病变,没多大问题,她也就没放在心上。 就这样一天天过去了,这个包块也一天天大了起来,王女士在平躺的时候已经感到轻微疼痛。她到医院做彩超检查,结果提示是一个边界清晰的囊性包块,外科医生建议她做一个简单的小手术。王女士找到我,希望我给她做这个手术。 在门诊为患者检查的时候,我发现这个包块位于骶尾部,也就是我们平常说的尾巴骨的地方,与周围分界清晰,局部没有红肿,肿块按起来软软的,有轻微疼痛,患者可以忍受。感觉这个包块太大,担心与肛门有关系,我建议患者住院治疗,先做个磁共振检查明确诊断,再说手术的事儿。 患者做完磁共振检查后,看着片子,我暗暗庆幸,还好当时没有在门诊给她手术,否则很难“收场”。 磁共振检查结果提示,这个包块有两部分,像一个亚腰葫芦,肚子里面一半,外面一半。外面的那一半像是从尾巴骨里面挤出来的一样,与肛门周围的肌肉和直肠的关系非常密切,如果手术,就不是一个简单的门诊囊肿切除小手术。这是一个非常特殊的骶前发育性囊肿。 我对患者说,骶前囊肿多见于她这个年龄的女性,因为囊肿位置比较深,又常常没有症状,所以早期很难诊断,等到囊肿非常大的时候,有些患者会出现肛门周围坠胀或者疼痛,并发感染的会出现发热、脓肿破溃、窦道形成等,像她这样类似亚腰葫芦的比较少见。她是幸运的,如果不是外面的这个囊肿,可能还不会被发现肚子里面的那一部分。 骶前囊肿虽然是一个良性疾病,但是要积极地进行手术治疗,这是因为骶前囊肿本身有一定的恶变概率,囊肿本身无自愈可能。随着囊肿的增大,容易继发感染,导致囊肿与盆底的肌肉和直肠分界不清晰,术中容易发生损伤,将大大增加手术的难度。很多医生在手术过程中因为担心损伤直肠和肛门括约肌,出现肠瘘和肛门失禁,术中未能将囊肿壁完整切除,导致术后复发和感染,伤口长期不愈合,给患者带来很大的痛苦。因此,术中完整地切除囊肿壁至关重要,同时还要尽可能保护肛门周围的结构和直肠,避免出现损伤。最后,我为患者完整地切除了骶前囊肿,因为准备充分,术中很好地保护了患者的直肠和肛门周围的肌肉。患者术后恢复得非常好。 (作者供职于郑州市中心医院)

|