□陈献韬 文/图
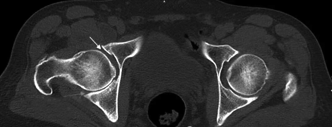
股骨头坏死发展到一定阶段,会出现“裂缝”(软骨下骨折)、“空洞”(囊性变)等。其实,股骨头内有“空洞”,不一定意味着坏死。下面,我举例说明。 病例 这是一位男性患者,今年67岁,6个月前无明显诱因出现右髋部大腿内侧及右膝关节疼痛,劳累后疼痛加重。他到当地医院拍片。当地医院医生看了一下片子,认为是右侧股骨头坏死,遂让患者口服药物治疗。口服药物治疗1个月,患者的疼痛未见明显减轻,遂来到河南省洛阳正骨医院就诊。 我看了他的MRI(磁共振成像)片,发现和股骨头坏死的影像非常相似,但的的确确是骨性关节炎。 仔细看MRI片(图1),可见左侧股骨头(L)很圆,右侧股骨头不仅不圆且髋臼有内陷。将MRI片与CT片(图2)结合起来,可以明确诊断。CT片可见关节面下囊性变,关节间隙不等宽,周围还有骨质增生。 成人发育不良被确诊的年龄范围很大,早期可以在青春期剧烈运动后发现,也可以在40岁~50岁偶尔有疼痛时发现,当然多在60岁~70岁时被确诊——确诊时间取决于具体的头臼匹配、体重、工作性质、运动或劳动量。 当然,还可以换个思路来理解疼痛的机制——关节不稳定造成磨损增加,盂唇受到撞击后发生撕裂。 一般认为,50岁以下的髋关节发育不良可以考虑髋臼周围截骨术;50岁以上,对于疼痛无法通过保守治疗获得长期满意效果,首选关节置换治疗。 术中可见股骨头负重区软骨已经磨损殆尽,由此引起的疼痛是无法通过保守治疗解决的。 为什么骨性关节炎和股骨头坏死易混淆 骨性关节炎是一种以关节软骨退行性变和继发性骨质增生为特征的慢性关节疾病,多见于中老年人,女性发病率略高于男性。其核心病理改变是关节软骨的变性、破坏,导致关节疼痛、僵硬、肿胀及活动受限。 骨性关节炎与股骨头坏死在症状、影像学表现上存在诸多相似之处,这导致两者在临床诊断中容易混淆。 症状相似性 1.疼痛特点重叠 两者均可表现为髋部疼痛,且活动后加重。 骨性关节炎的疼痛多为渐进性,休息后可缓解。股骨头坏死引发的疼痛可能夜间明显,且休息后无法完全缓解。 2.关节功能影响 骨性关节炎和股骨头坏死均会导致活动受限、跛行等症状,且体格检查(如“4”字试验阳性)结果相似。 影像学表现交叉 1.早期影像学差异不明显 骨性关节炎的典型表现为关节间隙狭窄、骨赘形成。而股骨头坏死早期X线检查结果可能正常,需通过MRI检查发现骨髓水肿或“新月征”。 若仅做X线检查,可能漏诊早期股骨头坏死。 2.晚期病变相互关联 股骨头坏死晚期可因股骨头塌陷继发髋关节骨性关节炎。此时影像学表现可能同时具备两者特征,增加鉴别难度。 如何避免误诊 结合多种检查手段:X线联合MRI检查可提高诊断准确性。 关注疼痛细节:若有夜间痛、静息痛,更倾向于股骨头坏死。 详细询问病史:明确激素使用、饮酒史等关键信息。 (作者供职于河南省洛阳正骨医院)
 
|