□陈献韬 文/图
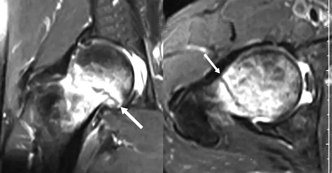
在日常生活中,人们通常认为骨折是摔倒、碰撞等明显外伤导致的结果。但在临床上,不少人在没有明显外伤的情况下发生了骨折。61岁的张先生就遇到了这样的蹊跷事:既往体检结果正常的他,无明显原因出现右侧腹股沟疼痛。他来到医院就诊,做了相关检查。 我们来看下MRI(磁共振成像)横断面成像:股骨头坏死还是骨髓水肿综合征?都不是!看箭头所示,一条明显的“黑线”——这是骨折线。 对于张先生这种没有明显外伤就出现的骨折,可以理解是长期应力造成的。 从发病人群看,应力性骨折有着鲜明的特征。绝经后骨质疏松的老年女性、长期进行高强度训练的运动员及农村长期从事体力劳动的人都是其高发人群。 发病早期,CT片或X线片通常无法显示骨折线,主要是因为其影像学原理依赖骨结构的密度变化,而应力性骨折初期的损伤多发生在骨髓和微细骨小梁,尚未形成明显的骨皮质断裂或骨密度改变。此时,MRI的敏感性优势得以体现:虽然X线或CT检查难以发现结构性断裂,但是MRI能通过信号变化捕捉到骨骼的“求救信号”。 简而言之,MRI在应力性骨折早期虽然未必“看到”骨折线,但是能“感知”到骨骼的病理变化,为临床提供超前诊断依据,避免延误治疗时机。 需要强调的是,应力性骨折常与骨骼疲劳、骨重塑失衡或骨强度下降等相关,这些基础问题可能影响骨折的愈合速度。 对于应力性骨折,如何治疗? 一旦确诊为应力性骨折,治疗方案的选择需要根据骨折的具体情况而定。对于骨折端稳定、移位风险较小的患者,可考虑保守治疗(适当制动、充分休息、抗骨质疏松治疗等)。保守治疗对患者的依从性要求较高,且失败率相对较高,必须在专业医生的指导下进行。如果影像学检查显示骨折端存在明显骨小梁断裂、吸收,骨折端不稳定,或者患者难以配合保守治疗,为避免病情恶化,引发股骨头塌陷等严重后果,需要考虑手术治疗(内固定术、关节置换术等)。 (作者供职于河南省洛阳正骨医院) |